Serviços
Radiografia Panorâmica
A radiografia panorâmica é um raio-x que engloba o complexo maxilomandibular, ou seja, trata-se de um exame de imagem que possibilita visualizar estruturas internas da região da boca. É uma das técnicas radiográficas mais solicitadas e difundidas em todas as especialidades da odontologia.




Tomografia Cone Beam
A tomografia cone beam, também chamada de tomografia computadorizada volumétrica do feixe cônico, é um exame que permite capturar imagens tridimensionais (3D) de regiões do corpo. O procedimento é usado principalmente na odontologia, pois permite visualizar as estruturas da região maxilo-mandibular com detalhes.




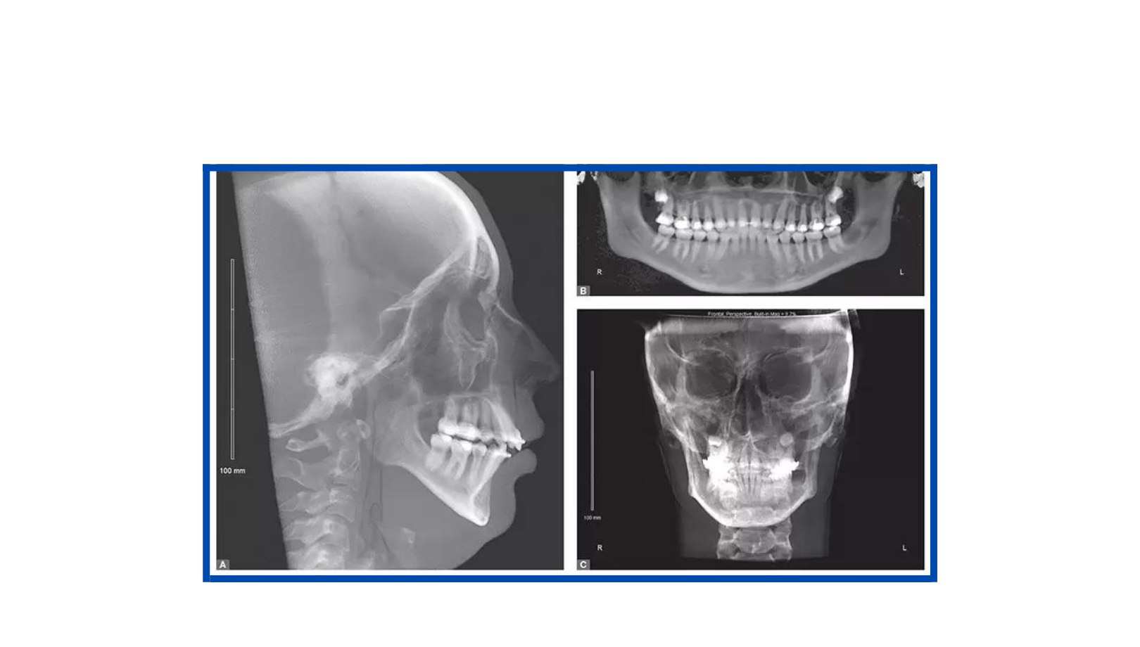
Documentações Ortodônticas
A documentação ortodôntica é um conjunto de exames composto por radiografias, fotografias intra e extra-bucais, modelos em gesso das arcadas dentárias, análises cefalométricas e de modelos computadorizados que o dentista solicita para ter uma visão abrangente e detalhada do caso de seu paciente.
Scanner Intraoral
Esse aparelho veio para substituir os famosos modelos de gesso, pois reproduz de forma digital os dentes do paciente. O scanner consegue realizar uma leitura completa da arcada dentária com uma câmera intraoral e os dados capturados são enviados para o computador, que cria uma imagem em 3D de altíssima qualidade

.png)





